Dataset Browser

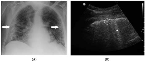
Ultrasound And X Ray Questions

Ultrasound And X Ray Questions

Understanding the key differences between ultrasound and X-ray imaging is crucial for making informed decisions about medical diagnostics. While both are powerful tools for visualizing the inside of the body, they utilize different technologies – ultrasound uses sound waves, while X-rays use electromagnetic radiation. This results in varying levels of radiation exposure, image clarity for different tissues, and ultimately, suitability for specific medical conditions and patient needs. This guide explores these contrasts to help clarify when each imaging technique is most appropriate.

Toglietevelo Dalla Testa Cellulari Tumori E Tutto

Toglietevelo Dalla Testa Cellulari Tumori E Tutto

Dismiss persistent worries about cell phone cancer links and the supposed dangers of mobile phone health risks. While concerns regarding tumor cell phone use and radiation exposure myth often circulate, the scientific community largely suggests there's no conclusive evidence to support these widespread fears. This article aims to clarify the facts surrounding wireless device safety, helping you to differentiate between credible information and speculative anxieties regarding cellular technology and health.

Radionuklidnoe Zagriaznenie Okruzhaiushchei Sredy I Zdorove Naseleniia

Radionuklidnoe Zagriaznenie Okruzhaiushchei Sredy I Zdorove Naseleniia

Exploring the critical issue of radionuclide contamination in the environment and its profound implications for public health. This topic investigates how radioactive pollution impacts ecosystems, leading to radiation exposure and potential environmental health risks for human populations. Understanding the sources, pathways, and long-term effects of such contamination is essential for developing effective mitigation strategies and safeguarding community well-being.

Environmental Radiation Effects On Mammals A Dynamical Modeling Approach 1st Edition

Environmental Radiation Effects On Mammals A Dynamical Modeling Approach 1st Edition

This comprehensive resource delves into the intricate effects of environmental radiation on various mammalian species. Employing a sophisticated dynamical modeling approach, it provides a crucial framework for understanding the biological impacts and potential long-term consequences of radiation exposure in natural ecosystems. This text offers valuable insights for researchers, environmental scientists, and anyone interested in radiobiology and ecological risk assessment.

Practical Radiation Protection And Applied Radiobiology

Practical Radiation Protection And Applied Radiobiology

Explore essential principles of practical radiation protection and delve into the critical field of applied radiobiology. This comprehensive resource provides insights into safeguarding against radiation hazards, understanding the biological effects of radiation, and implementing effective radiation safety measures. Ideal for professionals and students seeking to master radiobiology principles and radiation exposure management.